ਪੇਟ ਦਰਦ ਦੀ ਸਮੱਸਿਆ ਲੈ ਕੇ ਪੁੱਜੀ ਹਸਪਤਾਲ, ਡਾਕਟਰ ਨੇ ਕੀਤਾ ਇਹ ਖੁਲਾਸਾ
Tuesday, Aug 08, 2017 - 01:33 PM (IST)
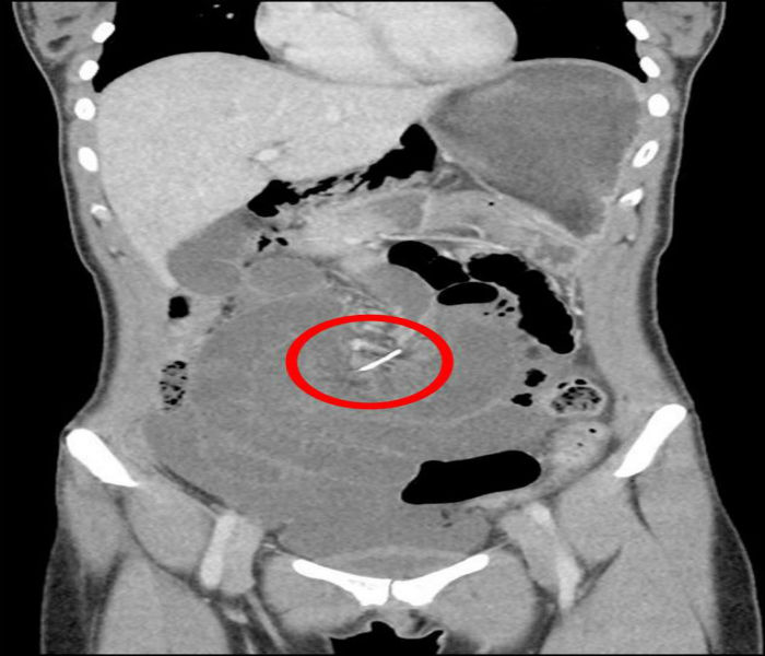
ਆਸਟ੍ਰੇਲੀਆ— ਕਈ ਵਾਰ ਅਸੀਂ ਪੇਟ ਦਰਦ ਨੂੰ ਅਣਗੋਲਿਆ ਕਰ ਜਾਂਦੇ ਹਾਂ।, ਜਿਸ ਕਾਰਨ ਇਹ ਸਾਡੇ ਲਈ ਵੱਡੀ ਪਰੇਸ਼ਾਨੀ ਬਣ ਜਾਂਦੀ ਹੈ। ਪੱਛਮੀ ਆਸਟ੍ਰੇਲੀਆ 'ਚ ਰਹਿਣ ਵਾਲੀ ਇਕ ਔਰਤ ਨਾਲ ਵੀ ਅਜਿਹਾ ਹੀ ਹੋਇਆ। 30 ਸਾਲਾ ਔਰਤ ਦੇ ਪੇਟ 'ਚ ਜਦੋਂ ਦਰਦ ਬਰਦਾਸ਼ਤ ਤੋਂ ਬਾਹਰ ਹੋ ਗਿਆ ਤਾਂ ਉਹ ਹਸਪਤਾਲ ਪਹੁੰਚੀ। ਪੱਛਮੀ ਆਸਟ੍ਰੇਲੀਆ ਸਥਿਤ ਹਸਪਤਾਲ ਦੇ ਐਮਰਜੈਂਸੀ ਵਾਰਡ 'ਚ ਔਰਤ ਨੂੰ ਦਾਖਲ ਕੀਤਾ ਗਿਆ। ਡਾਕਟਰ ਨੇ ਜਦੋਂ ਉਸ ਦਾ ਚੈਕਅਪ ਕੀਤਾ ਤਾਂ ਉਨ੍ਹਾਂ ਨੂੰ ਲੱਗਾ ਕਿ ਸ਼ਾਇਦ ਪੇਟ ਵਿਚ ਪੱਥਰੀ ਹੋਵੇਗੀ ਪਰ ਸੀਟੀ ਸਕੈਨ 'ਚ ਕੁਝ ਹੋਰ ਹੀ ਸੱਚਾਈ ਸਾਹਮਣੇ ਆਈ।
ਸਕੈਨ ਦੀ ਰਿਪੋਰਟ 'ਚ ਔਰਤ ਦੇ ਪੇਟ ਵਿਚੋਂ 7 ਸੈਂਟੀਮੀਟਰ ਧਾਤੂ ਦੀ ਤਾਰ ਦਾ ਟੁੱਕੜਾ ਮਿਲਿਆ। ਇਸ ਤੋਂ ਬਾਅਦ ਡਾਕਟਰਾਂ ਨੇ ਤੁਰੰਤ ਆਪਰੇਸ਼ਨ ਕਰ ਕੇ ਉਸ ਤਾਰ ਦੇ ਟੁੱਕੜੇ ਨੂੰ ਬਾਹਰ ਕੱਢਿਆ। ਡਾਕਟਰਾਂ ਦਾ ਕਹਿਣਾ ਹੈ ਕਿ ਔਰਤ ਕਈ ਸਾਲਾਂ ਤੋਂ ਦੰਦਾਂ ਵਿਚ ਤਾਰ ਲੱਗਾ ਰਹੀ ਸੀ ਪਰ 10 ਸਾਲ ਪਹਿਲਾਂ ਉਸ ਤਾਰ ਦੇ ਟੁੱਕੜੇ ਨੂੰ ਔਰਤ ਨੇ ਨਿਗਲ ਲਿਆ, ਜਿਸ ਕਾਰਨ ਉਸ ਦੀ ਅਜਿਹੀ ਹਾਲਤ ਹੋ ਗਈ। ਔਰਤ ਨੇ ਡਾਕਟਰ ਦਾ ਧੰਨਵਾਦ ਕੀਤਾ ਅਤੇ ਕਿਹਾ ਕਿ ਉਨ੍ਹਾਂ ਨੇ ਉਸ ਦੀ ਸਭ ਤੋਂ ਵੱਡੀ ਮੁਸ਼ਕਲ ਦਾ ਹੱਲ ਕੀਤਾ ਹੈ। ਡਾਕਟਰਾਂ ਨੇ ਕਿਹਾ ਕਿ ਔਰਤ ਹੁਣ ਪੂਰੀ ਤਰ੍ਹਾਂ ਸਿਹਤਮੰਦ ਹੈ।
